We also offer Virtual Consultations!
Get some help from a friend or family member to replicate the photos below using a smartphone and text all 5 of your photos along with: your full legal name, date of birth, the office you want to be seen at, which treatment you are interested in, and any additional questions that you may have to Dr. Lee at (949) 508-5509 or davidleeortho@gmail.com for the quickest response. Allow Dr. Lee 24-48 hours to respond accordingly! *Please note that the virtual consultation is not always an exact diagnosis. In some cases, additional appointments in person may be required for the most accurate diagnosis.

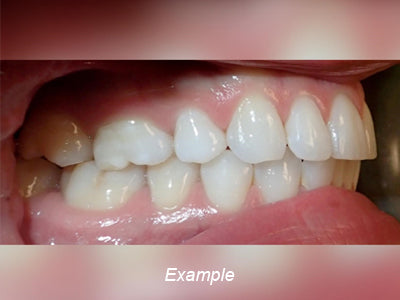
Photo #1 - Right Bite
Bite down on your regular bite with back teeth touching. Pull back your right cheek as far as you can. Snap picture looking directly at the right side of your mouth.

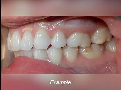
Photo #2 - Left Bite
Bite down on your regular bite with back teeth touching. Pull back your left cheek as far as you can. Snap picture looking directly at the left side of your mouth.

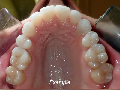
Photo #3 - Upper Arch
Tilt your head back and take a photo of your full upper arch.

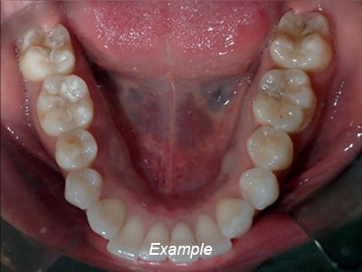
Photo #4 - Bottom Arch
Tilt your chin down and take a photo of your full lower arch.

Photo #5 - Center Smile
Bite down on your regular bite with back teeth touching and show us your biggest smile ever, take a photo of your entire smile looking straight into the camera!
Once you've submitted your photos, you’re finished! Dr. Lee will personally review your photos and will determine which orthodontic treatment is right for your unique case. We'll prepare a tailored treatment plan for you, which outlines: our recommended treatment type, estimated length, and cost. We will be in touch as soon as possible to walk you through all of your treatment options!
Important:
When we send you an email, or you send us an email, the information sent is not encrypted. But, David Lee Orthodontics takes every step possible to ensure the security of your information and your form results will only be sent to us.
HIPAA stands for the Health Insurance Portability and Accountability Act
Information stored on our computers is encrypted.
Email is a very popular and convenient way to communicate for a lot of people, so in their latest modification to the HIPAA act, the federal government provided guidance on email and HIPAA.
The guidelines state that if a patient has been made aware of the risks of unencrypted email, and that same patient provides consent to receive health information via email, then a health entity may send that patient personal medical information via unencrypted email.
By sending a request for virtual consultation with email you are accepting the terms and conditions of utilizing non-encrypted email to communicate health information.